Motivation and emotion/Book/2019/Hope theory

Hope theory:
What is hope theory and how can it be applied?


Overview

People experience hope everyday. Hope is someones expectations and confidence in any given situation, no matter its importance. Whether humans consciously or subconsciously use hope, it plays a core role in sustaining human achievements while improving and maintaining a healthy well-being. Without hope their is no hope theory and therefore humans would struggle to achieve their personal goals as they would have no emotional or motivational drive to succeed. Furthermore, during times of adversity they would have little psychological protection to encourage them to act positively on the circumstance. The complexity and power of hope has been simplified and made easy to use through hope theory.

Focus questions:
  1. Why is hope theory important?
  2. How does human biology effect hope theory?
  3. Who can use hope theory?

Case study

Binaei, Moeini, Sadeghi, Najafi and Mohagheghian (2016) conducted a study on the effects of using hope therapy on those with congestive heart failure (CHF) and their families. The aim of the case study was to improve the patients and their families quality of life (QOL) by combining hope theory with their Islamic beliefs. The participants included 46 Iranian adult patients with CHF and their families. The investigation lasted one month and included, two groups, one group that received hope therapy (experimental group) and one that did not (control group). The results demonstrated that those who received therapeutic help demonstrated increases in QOL as their satisfaction levels with their treatment improved. The experimental groups satisfaction levels increased from 61.4 to 75.2 (out of 100) while the control groups satisfaction levels decreased from 59.6 to 59.4. Furthermore, as satisfaction levels increased in the experimental group so did the patients perception on how important their life was as scores improved from 66.8 to 76.3 (out of 100). In contrast, the control groups importance levels decreased from 67.2 to 66.8 (Binaei et al., 2016).

Hope theory

Figure 1. An anchor is a universally popular image used to symbolise hope. As it illustrates a new voyage into the unknown with high expectations.

Where did hope theory come from?

Hope theory was officially published in a book titled ‘Hope Theory: Rainbows in the mind’ by C. R. Snyder in the early 21st century (Snyder & Lopez, 2002). The book is part of a relatively lesser known and new era of psychological thinking, experimenting and measuring known as positive psychology. Hope theory was influenced by other positive psychology theories ('Optimism: Seligman', 'Optimism: Scheier and Carver', 'Self-Efficacy: Bandura', 'Self-Esteem' and 'Problem Solving') that also acted as a guide for the formation of the theory (Snyder, Rand & Sigmon, 2005).

Hope theory formulated from the blurry explanation of what is hope and the breakdown of the definition led Snyder to develop a cohesive goal achieving theory (Snyder et al., 2005). From Snyder’s analysis of other scholars work on hope, he found that they treated it as a simple construct whereas Snyder explains that hope is complex and multilayered. Snyder explains that hope is the desire for something to happen from which he developed a theory which would teach people how to best channel and use hope to its full potential (Snyder et al., 2005)

Positive psychology rose from the idea that psychology has a negative tone and wanted to focus on improving people's strengths rather than eliminating their weaknesses (Snyder et al., 2005). Hope psychology has a great emphasis on positive character traits, intrinsic values over extrinsic value, virtues and the human spirit (Snyder et al., 2005) as seen in Figure 2. The lack of research in these areas led to the appraisal of positive psychology by the psychological community (Snyder, 2000).

Why is hope theory important?

The importance of hope theory is that it helps people to understand who they are as a person and how they can use their mental strength to fulfill their potential (Snyder, 2000). In addition, hope theory has established the meaning of hope (see Figure 1) and how hope can improve an individual’s well-being. Hope theory's cycle of growth and development continuously reinforces an individuals self-concept and therefore improves their self-esteem, encouraging them to continue to achieve (Snyder, 2000).

Hope theory model

Figure 2. This is an illustration of an intellectual and wealthy person thinking positive thoughts. The illusion of the pipe explains that the man is successful and it is due to his positive mind.

The three phases of the hope theory model consist of: 'learning history phase', 'pre-event phase' and the 'event-sequence phase'. Each phase entails unique barriers (stressors that interrupt an individual's pursuit of their goal) and how people handle these barriers will predict the outcome of their journey (Jin & Kim, 2019).

Goals

Goals are the glue that holds hope theory together, without it the theory would not be sustainable (Snyder & Lopez, 2002). Mentally, goals are indicators of an individual self-concept, as the more goals they achieve the more their self-esteem improves and the thus the more goals they set (Snyder & Lopez, 2002). Goals can either be short-term or long-term and they need to be of importance to the individual or they will struggle to complete it. The goals that feel the most valued are goals that are difficult to achieve but are achievable (Snyder et al., 2005). If a goal is too easy to achieve, there is no self-fulfillment from success, while goals that are too difficult often make the individual doubt their capabilities and thus their self-esteem declines (Snyder et al., 2005). Ultimately it is important for individuals to set sub-goals that will lead to their final goal. This will essentially continue to validate their performance and allow the individual to continue with confidence in their progression (Snyder, 2000).

Pathway thinking

Pathway thinking is described as the cognitive sense of enveloping strategies for achieving desired goals (Snyder et al., 2005). It is essential for narrowing complex routes to achieve a goal as efficiently and effectively as possible. For pathway thinking to be successful, the user needs to mentally envision their path to achieve their goal with success (Snyder et al., 2005). Any pathway that is viewed as unsuccessful should be altered or eliminated to encourage the user to foresee their goal. It is more productive to produce several pathways as these pathways will offer solutions when met with barriers (Snyder & Lopez, 2002).

Agency thinking

Agency thinking is described as the motivation behind achieving a specific goal. The stronger an individual’s motivation to reach a goal, the more the individual will value their achievement (Snyder et al., 2005). If an individual is not motivated from the start of their goal, they are less likely to achieve that goal. While those who are more motivated to achieve their goal are more likely to overcome barriers developing their mental toughness as they proceed (Snyder & Lopez, 2002).

Pathway and agency thinking

The balance of pathway and agency thinking is unique and fragile as success relies on the cohesion of both thinking mechanics. If one is strong but the other is weak, the individual is likely to fail in their pursuit of their goal (Snyder et al., 2005). Pathway thinking improves agency thinking as individuals begin to set sub-goals along their pathway, they continue to reinforce their motivation and pursuit of achieving their final goal. While without agency thinking, the individual would not be motivated to persevere and use pathway thinking (Snyder, 2000).

Outcome Value

This sequence is essential for an individual to determine if a goal is worth pursuing or not by evaluating its risk-return. Ultimately if an individual believes that the goal will benefit them in some form, then they will perceive the goal worthy of pursuing (Snyder et al., 2005). In addition, during an individual's pursuit to reach their final goal, they may reconsult the outcome value to ensure that their evaluation of the goal is still worthy of their effort (Snyder et al., 2005).

Some underlying factors that can influence an individual's success or failure is their overall emotions. Those who reflect positively about their pursuit and their progress towards a goal are more likely to achieve that goal. While those who are more negative are more likely to fail (Snyder, 2000). In addition, those who are more negative are less likely to feel rewarded by their overall progress and thus will ultimately feel little to no satisfaction with their overall attempt (Snyder, 2000). Those with high hopes are more likely to continue with their pursuit of their goal even when success seems more than unlikely (Snyder, 2000). Therefore, goal-pursuit cognition provokes an emotional response from the individual mentally. (Snyder et al., 2005).


Hope theory introduction quiz question

What part of the hope theory model focuses on the motivation behind goal pursuit?

Pathway thinking
Barriers
Agency thinking
None of the above

The biology of hope theory

Majority of the brain functions that are associated with hope have to do with memory and cognition. Overall there could be several regions involved in producing and processing hope, but the major regions include the bilateral medial orbitofrontal cortex (mOFC), hippocampus, medial prefrontal cortex (mPFC), and the posterior parietal cortex. Damage to these regions can result in negative thoughts (Groopman, 2004) as these regions play a critical part in establishing positive moods (Kurczek et al., 2015). These negative thoughts could cripple an individual's well-being as they can lead to depression and other mental disorders (Groopman, 2004).

Table 1

Summary of brain functions in relation to hope theory

Brain region Function Connection to hope theory
mOFC Emotional control, reward decision making and risk analysis Outcome value
Hippocampus Episodic memory and spatial awareness Pathway and agency thinking
mPFC Reward-guided learning and controlling emotions Goals, pathway thinking and outcome values
Posterior parietal cortex Endogenous attention Goals and agency thinking

Bilateral medial orbitofrontal cortex (mOFC)

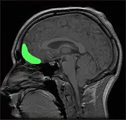
The mOFC is associated with a human’s production of hope as it deals with emotions and reward decision making as seen in Figure 3. This goal-directed function assesses the value of an individual’s decision and helps determine if the action is worthy of the individual’s efforts (Wang et al., 2017). In addition to comprehending rewards, the region is also sensitive to risks, promoting risk-reward thinking for the goal (Gourley, Zimmermann, Allen & Taylor, 2016). Finally, the mOFC can formulate rewards by assessing the results, even when the results are unclear, and the reward is unclear (Kurczek et al., 2015). Therefore, these functions play a critical role during the outcome value step.

Figure 3. MRI of the Orbitofrontal cortex, this region plays a crucial role in the production of hope and therefore well-being.

Hippocampus

The Hippocampus doesn’t play a direct role in producing hope but rather it is a reminder of an individual’s goals. As the hippocampus acts as a reference for the individual to act upon their goals using memory (episodic memory in particular) to remind them of their tasks as well as experience to ensure that they learn and develop along their journey (Lisman et al., 2017). Without the support of the hippocampus, individuals’ memories would be impaired and thus their desired goals would be clouded and unclear (Gourley et al., 2016). In addition the hippocampus helps the user understand the space around them (spatial awareness) and why that space is important for them to achieve their goals (Lisman et al., 2017). The hippocampus is particularly useful for establishing the cohesion between pathway and agency thinking in the hope theory model.

Medial prefrontal cortex (mPFC)

The mPFC plays a more direct role in producing and maintaining hope, as it is responsible for formulating and controlling emotions. More specifically the mPFC plays a critical role in analysing and comprehending reward-guided learning (Euston, Gruber & McNaughton, 2012). This decision-making utility allows humans to comprehend when they are succeeding in their goals and help them direct themselves towards their end goal (Euston et al., 2012). The executive control of this regions allows the individuals to stay on task and proceed with their desired goals while analysing the risk-reward of the end goal and the sub-goals (Euston et al., 2012). Therefore, the mPFC plays an insightful part in the development of the pathway thinking outcome value and goals from the hope theory model.

Posterior parietal cortex

The posterior partial cortex plays an essential role in motor functions with the help of planned movement, spatial awareness (through visual perception) and attention (Lisman et al., 2017). However, its major function is attention, more specifically endogenous attention (goals and desires). Endogenous attention is stimulus directed and therefore goals that stimulate an individual, are more likely to be completed as the individual feels rewarded by completing these tasks (Meyer, Du, Parks & Hopfinger, 2018). Thus, endogenous attention is critical for agency thinking and goals within the hope theory model.

Biochemistry

  • Dopamine: Dopamine (see Figure 4.) has been known to be able to motivate individual in order to help them maintain their goals as well as helping create goals. It can also help individuals remain direct and feel the rewards of success (Lisman et al., 2017). 
  • Endorphins: Endorphins play a unique role as they num the feelings of pain. By creating a protective barrier between the individuals and the emotions of pain, they are more likely to pursue their goals during periods of doubt and adversity (Groopman, 2004).
figure 4. This image outlines the pathways of dopamine throughout the brain.


Biology of hope theory quiz

How do endorphins help promote hope theory?

Developing spatial awareness
Creating protective barriers
Producing desires
Through episodic memories

Measuring hope theory

The overall aim of these psychological measuring instruments is to determine an individual's final goal by understanding their emotional connection to that goal. There are five main and influential instruments for measuring hope, each designed to tap into a unique part of an individual’s desires, mental strength and preparation for their journey (Snyder & Lopez, 2002).

Measuring instruments

  1. Adult Dispositional Hope Scale (DHS): The DHS was designed for adults’ disposition on hope (the tendency of their belief in hope, in terms of their emotions and mental functioning). It is a 12-item inventory and is designed for those who are 15 years of age and older (Snyder & Lopez, 2002). The DHS is known for predicting coping skills and well-being (Hellman, Pittman & Munoz, 2013). Snyder recommends that the DHS be used to determine high hope individuals and breakdown what aspects make them superior to others (Hellman et al., 2013).
  2. Adult Domain Specific Hope Scale (DSHS): The DSHS focuses on measuring an individual’s six domains (social, academic, family, romance, work and leisure activities) (Snyder, & Lopez). DSHS uses a Likert scale to score its participants perception of how valuable they perceive the six domains (Snyder, & Lopez). Furthermore, another Likert scale is presented whereby the participants are asked to rate the compatibility of the six domains to themselves. The DSHS is designed to understand a more detailed reason as to when individuals are more likely to use hope (Snyder, & Lopez).
  3. Figure 5. Image of a poor child with a car wheel. Children in dire situations can benefit off a CHS or YCHS.
    Children’s Hope Scale (CHS): The CHS has been designed for children between the ages of seven and sixteen (see Figure 5.). It is a 6-item self-report inventory that claims children’s thoughts are less complex and are more direct and thus their goals can be understood with more ease compared to adults (Snyder, & Lopez). Three of the six items are agency thinking focused while the other three are pathway thinking focused (Snyder, 2005). The total scoring system ranges from six (low-hopes) to 36 (high-hopes). The CHS is mainly used as an early predictor of an individual’s hope throughout their life. In addition, it is also used to better understand why individuals score so differently at young ages (Snyder, 2005).
  4. Young Children’s Hope Scale (YCHS): The YCHS is most commonly used for children between the ages of five and seven (see Figure 5.). The YCHS is a simplified version of the CHS that appeals to children more as it is more relatable to their language and abilities to respond (Snyder & Lopez, 2002). Similar to the CHS, it is also used to predict hope levels from young ages (Snyder & Lopez, 2002).
  5. The Adult State Hope Scale (ASHS): The ASHS was designed to measure any goal direct thought in any given situation. It was designed for adults (15 and above) and is a six-item self-questionnaire report, three pathway and three agency directed questions (Snyder & Lopez, 2002). Items are scored against an eight question Likert scale and total scores can range from six (low-hopes) to 48 (high-hopes). Participants are to pick answers that most resembles their emotions during the given scenario. The ASHS is particularly useful in understanding how hope is determined in ongoing, instantaneous decision-making tasks (e.g., sports) (Snyder & Lopez, 2002).

Additional, observational methods have been used to support research and offer an alternate solution if participants are having difficulty with the questionnaires (Snyder & Lopez, 2002). Observational measures can provide a consistent result if the observers know the participant well enough to understand and analyse what they are observing (Cheavens, Heiy, Feldman, Benitez & Rand, 2018). However, if the observer is unfamiliar yet experienced a researcher, results can vary and can remain unreliable (Snyder, 2000).

Overall reliability and validation

Overall it understood that all the scales have a strong internal reliability, strong validity and are strong predictors of an individual’s hope and their personal development of hope in the future (Snyder & Lopez, 2002). However, it is understood that the scales have been designed for western cultures and thus eastern cultures often appear less hopeful when these scales are in use (Snyder et al., 2005).

Overall results

Overall the results are clear, those who demonstrated higher scores (children or adults) on their respective scales, demonstrated higher degrees of hope as well as demonstrating higher levels of becoming a highly hopeful person (Snyder & Lopez, 2002). While those who scored lower on the five scales demonstrated that they were less hopeful and more doubtful (Snyder, 2009). Despite these factors, the lowest score an individual could possible endure, still determined that they had minor implications of hope mentally (Snyder & Lopez, 2002). The vast variety and complexity of the scales allow them to be applied to many aspects of life.

Applicability of hope theory

Overall, hope has been suggested to be applicable to most if not all areas of life, those people who are highly hopeful in academics, athletics and physical health are more likely to achieve highly than low hope individuals (Snyder & Lopez, 2002). These individuals are more likely to set achievable and stimulating goals that helps drive them to reach their potential. These high hope people are more likely to reflect positively about their goals while constructing more creative pathways in achieving their goals to ensure they are successful (Day, Hanson, Maltby, Proctor & Wood, 2010). Furthermore, they are more mentally prepared for any barriers that may limit their capabilities as seen in Figure 6. When faced with these stressors they are positive and active to use one of their prepared pathways or creative in creating spontaneous new routes (Gustafsson, Skoog, Podlog, Lundqvist, & Wagnsson, 2013).

figure 6. This image is depicting a college athlete reflecting upon their goals.

In terms of psychological adjustment majority of studies have agreed that high hope people are better adjusted than their counter parts (Snyder & Lopez, 2002). Individuals with high hopes are more responsive to positive rewards and less responsive to negative consequences allowing them to maintain their sanity and health (Thimm, Holte, Brennen & Wang, 2013). Individuals with low hopes generally struggle to achieve and find a purpose in their life, they can then suffer from mental disorders that can takes years to overcome (Thimm et al., 2013). Because high hope individuals seek the positives in life and try to benefit from barriers, they are mentally tougher and thus are prone to remain motivated in life and are more likely to achieve more (Gustafsson et al., 2013). Furthermore, high hope people are occasionally linked with discovering the meaning of life. Individuals who understand their meaning in life by putting values on their achievements and future goals are more likely to be satisfied with their overall life choices and look forward to the future (Snyder & Lopez, 2002).

Psychotherapy has proven that hope theory can be attained in helping people improve their well-being by teaching them to establish achievable life goals (Snyder & Lopez, 2002). By giving people a sense of direction in life, they have a chance to improve their self-esteem as their self-concept improves with each achieved goal (Geraghty, Woodb & Hyland, 2010). Clients will then likely use these positive attitudes and reflective thoughts in later stages of their life helping them create solutions to unique problems with adaptive pathways (Geraghty et al., 2010). Hope plays a key role in fighting depression and establishing an individuals’ needs by encouraging productivity, physically and mentally. By stimulating the four main brain regions (the mOFC, hippocampus, mPFC and posterior parietal cortex) associated with hope the individuals can begin to produce positive moods with the help of dopamine and endorphins (Thimm et al., 2013).

Case study

Kibby (2015) conducted a longitudinal study researching the effects of hope and academic achievement. The study had a sample size of 250 university students from Australia and was specifically looking at how the development of hope and early academic achievements can benefit young adults in the future. The investigation compared results from two separate years of study, one year using hope theory and other did not. During the investigation the researcher found a correlation between hope, achievements and self-esteem. The study was based off several hope theory mechanics and used the adult hope scale to measure early perceptions of hope at the beginning of the investigation. During the yearlong investigation, the study found that students who used hope theory effectively, increased their overall academic achievement as the fail rate decreased from 11.3% to 8.7%. As students became more familiar with hope theory mechanics, they began to set more achievable goals which helped their psychological health. Additionally, students heavily favoured hope theory as satisfaction levels with the course increased from 3.8 to 4.4 from a five-point scale (Kibby, 2015).

Conclusion

Hope theory is a very powerful and unique mechanic that operates off the human emotion of hope. Hope theory is about channelling an individual’s hope and learning how to control and improve it with goals, pathway thinking and agency thinking. The psychological benefits of hope theory drastically improve an individual’s mental health which then encourages them to maintain that health while striving for further personal development. The theory can be applied in a variety of scenarios that can greatly improve someone’s sports desires, academic desires, therapeutic goals and a vast range of other aspirations. More importantly, the human brain constantly produces feelings of hope and desire and therefore subconsciously individuals are using hope theory in day to day life without knowing the full potential of the emotion.

See also

References

Binaei, N., Moeini, M., Sadeghi, M., Najafi, M., & Mohagheghian, Z. (2016). Effects of hope promoting interventions based on religious beliefs on quality of life of patients with congestive heart failure and their families. Iranian journal of nursing and midwifery research, 21(1), 77. https://doi.org/10.4103/1735-9066.174755

Cheavens, J. S., Heiy, J. E., Feldman, D. B., Benitez, C., & Rand, K. L. (2018). Hope, goals, and pathways: Further validating the hope scale with observer ratings. The Journal of Positive Psychology, 14(4), 452-462. https://doi.org/10.1080/17439760.2018.1484937

Day, L., Hanson, K., Maltby, J., Proctor, C., & Wood, A. (2010). Hope uniquely predicts objective academic achievement above intelligence, personality, and previous academic achievement. Journal of Research in Personality, 44(4), 550-553. https://doi.org/10.1016/j.jrp.2010.05.009

Euston, D. R., Gruber, A. J., & McNaughton, B. L. (2012). The role of medial prefrontal cortex in memory and decision making. Neuron, 76(6), 1057-1070. https://doi.org/10.1016/j.neuron.2012.12.002

Geraghty, A. W., Wood, A. M., & Hyland, M. E. (2010). Dissociating the facets of hope: Agency and pathways predict dropout from unguided self-help therapy in opposite directions. Journal of Research in Personality, 44(1), 155-158. https://doi.org/10.1016/j.jrp.2009.12.003

Gourley, S. L., Zimmermann, K. S., Allen, A. G., & Taylor, J. R. (2016). The medial orbitofrontal cortex regulates sensitivity to outcome value. Journal of Neuroscience, 36(16), 4600-4613. https://doi.org/10.1523/JNEUROSCI.4253-15.2016

Groopman, J. (2004). The anatomy of hope. The Permanente Journal, 8(2), 43-47. Accessed from https://www.ncbi.nlm.nih.gov/pmc/articles/PMC4690717/

Gustafsson, H., Skoog, T., Podlog, L., Lundqvist, C., & Wagnsson, S. (2013). Hope and athlete burnout: Stress and affect as mediators. Psychology of Sport and Exercise, 14(5), 640-649. http://dx.doi.org/10.1016/j.psychsport.2013.03.008

Hellman, C. M., Pittman, M. K., & Munoz, R. T. (2013). The first twenty years of the will and the ways: An examination of score reliability distribution on Snyder’s Dispositional Hope Scale. Journal of Happiness Studies, 14(3), 723-729. https://doi.org/10.1007/s10902-012-9351-

Jin, B., & Kim, Y. C. (2019). Rainbows in the society: A measure of hope for society. Asian Journal of Social Psychology, 22(1), 18-27. https://doi.org/10.1111/ajsp.12339

Kibby, M. D. (2015). Applying'hope theory'to first year learning. A Practice Report. Student Success, 6(1), 147. https://doi.org/10.5204/intjfyhe.v6i1.248

Kurczek, J., Wechsler, E., Ahuja, S., Jensen, U., Cohen, N. J., Tranel, D., & Duff, M. (2015). Differential contributions of hippocampus and medial prefrontal cortex to self-projection and self-referential processing. Neuropsychologia, 73, 116-126. https://doi.org/10.1016/j.neuropsychologia.2015.05.002

Lisman, J., Buzsáki, G., Eichenbaum, H., Nadel, L., Ranganath, C., & Redish, A. D. (2017). Viewpoints: how the hippocampus contributes to memory, navigation and cognition. National Neuroscience, 20(11), 1434-1447. https://doi.org/10.1038/nn.4661

Meyer, K. N., Du, F., Parks, E., & Hopfinger, J. B. (2018). Exogenous vs. endogenous attention: Shifting the balance of fronto-parietal activity. Neuropsychologia, 111, 307-316. https://doi.org/10.1016/j.neuropsychologia.2018.02.006

Snyder, C. R. & Lopez, S. J. (2002). Hope theory: Rainbows in the mind. Psychological inquiry, 13(4), 249-275. https://doi.org/10.1207/S15327965PLI1304_01

Snyder, C. R. (2000). Handbook of hope: Theory, measures, and applications. Academic press.

Snyder, C. R. (2005). Measuring hope in children. In What do children need to flourish? (pp. 61-73). Springer, Boston, MA.

Snyder, C. R., Rand, K. L., & Sigmon, D. R. (2005). Hope theory: A member of the positive psychology. Oxford University Press.

Snyder, C. R. (2009). Target Article: Hope Theory: Rainbows in the Mind. An International Journal for the Advancement of Psychological Theory, 13(4), 249-275. https://doi.org/10.1207/S15327965PLI1304_01

Thimm, J. C., Holte, A., Brennen, T., & Wang, C. E. A. (2013). Hope and expectancies for future events in depression. Frontiers in psychology, 4, 470-488. https://doi.org/10.3389/fpsyg.2013.00470

Wang, S., Xu, X., Zhou, M., Chen, T., Yang, X., Chen, G., & Gong, Q. (2017). Hope and the brain: trait hope mediates the protective role of medial orbitofrontal cortex spontaneous activity against anxiety. Neuroimage, 157(1), 439-447. https://doi.org/10.1016/j.neuroimage.2017.05.056