Motivation and emotion/Book/2025/Self-transcendent emotions
What are self-transcendent emotions and how can they be cultivated?
Overview
![]()
Nathanial has started feeling more anxious due to climate change. He is worried more and more about living conditions in the future. He feels increasingly saddened when he hears about animals dying and ecosystems collapsing. One night, he rides his horse to get away from all the pressures. He rides up into the mountains. It's a warm summer evening. The sun has set but he knows his way well. He rides to the top of the mountain. He enters the clearing and stops. All the stars are out. It's so clear and they are so bright. He is up so high, the stars feel like they are all around him. As low as his waste where he sits in the saddle. He can see a huge blue halo far off in the distance. He realises it's the city lights glowing like a space dome. In that moment, he is struct by the pure majestic expanse of it all. The sheer beauty. It feels surreal. All time and space disappears, converges, expands. The moment brings Nathaniel alive, surrounds him, releases him in a way he has never experienced before. He feels free and yet connected to everything. Have you ever had an experience that felt profoundly beyond you? |
Self-transcendent emotions are complex, heightened experiences that extend beyond basic survival needs. They serve as a conduit for individuals to transcend material concerns and connect with something greater than themselves, fostering deeper and more meaningful social bonds. These emotions can have profound benefits for both physical health and mental well-being. They often alter time perception and are characterized by virtuous values, altruistic acts, and existential meaning. This chapter examines the theoretical foundations of self-transcendent emotions, review research on their physiological and neurobiological mechanisms, and outline evidence-based strategies to increase the likelihood of experiencing these profound emotional states.
|
Focus questions
|
What are self-transcendent emotions?
Self-transcendent emotions are complex, heightened states that extend beyond self-interest and basic survival needs. They enable individuals to connect with something larger than themselves. whether that is humanity, nature, or a sense of universal meaning. These complex emotions foster prosocial behaviour, reduce self-focus, and promote harmony within communities and the environment (Tee & Shah, 2022; Zhao & Raney, 2024). Examples include awe, gratitude, and compassion, which have been extensively studied for their role in enhancing well-being and social connectedness (Tee & Shah, 2022).
Nathaniel’s experience of awe illustrates this phenomenon. Cultivating awe can help individuals cope with life’s challenges by broadening perspective, reducing ego-focus, and increasing resilience through meaning-making. Research suggests that such emotions not only improve personal well-being but also contribute to addressing global challenges, such as reducing environmental harm and mitigating social fragmentation (Christov-Moore et al., 2024; Perdomo-Guevara & Dibben, 2024).
Science supports leveraging these emotions as adaptive mechanisms. Emotions have long served an evolutionary role in helping humans thrive (Chow et al., 2023). Self-transcendent emotions, considered among the pinnacle of positive emotional experiences, guide prosocial behaviour and foster collective well-being (Li et al., 2024; Heylighen, 2025). Today's societies face multiple challenges. One example is the rise of self-absorption (Llanos & Verduzco, 2022). By shifting attention outward and emphasizing interconnectedness, self-transcendent emotions can be cultivated to provide a pathway to optimal well-being for individuals and societies.
|
Test yourself!
|
Theoretical framework
Viktor Frankl's self-transcendent model
Viktor Frankl, a Holocaust survivor, developed logotherapy as a framework for understanding and transforming human suffering. He proposed that individuals could transcend suffering by reframing everyday experiences through attitudinal shifts, engaging in creative work, and taking purposeful action. By remaining open to experiences and embracing meaning-making, individuals can ultimately rise above adversity and achieve self-transcendence (Frankl, 1985).
Abraham Maslow's hierarchy of needs

Influenced by Viktor Frankl’s emphasis on meaning-making (Indius, 2024), Abraham Maslow was a pioneer of transpersonal psychology (Weijers & Cox, 2025). Maslow conceptualized a hierarchy of fundamental human needs (see Figure 2), proposing that basic physiological and safety needs must be met before higher-order psychological growth can occur (Weijers & Cox, 2025). Originally, the pinnacle of this hierarchy was self-actualisation, defined as congruence and satisfaction with the self (Reischer, 2025). Similar to Frankl, Maslow theorized that actualisation involves developing talents, capacities, and potential through authentic action (Reischer, 2025).
Later in his career, Maslow introduced B-values, such as truth, beauty, and justice—as markers of higher development, and described peak experiences as moments of profound joy and unity where the self is diminished (Reischer, 2025). These experiences often involve self-transcendent emotions, such as awe and compassion, and reflect a natural compulsion to focus outward and help others. Toward the end of his career, Maslow proposed that self-actualization serves as a gateway to self-transcendence, enabling individuals to go beyond personal limitations and contribute to the growth of others. Through reflection, expansion, and altruistic engagement, individuals can cultivate the capacity to transcend the self and embrace interconnectedness (Reischer, 2025).
Reed's theory of self-transcendence
Pamela Reed's theory of self-transcendence emerged primarily within the nursing discipline, focusing on individuals approaching the end of life (Kitson et al., 2020). The theory emphasizes that personal growth and coping are shaped by life experiences, enabling individuals to process suffering through spiritual well-being, meaning-making, and healing. Reed’s perspective shares common ground with Frankl and Maslow, highlighting that each stage of development involves expanding one’s boundaries and finding meaning beyond the self.
Wong's self-transcendence principles
Dr Paul Wong acknowledged the reality of suffering like Frankl, and agreed it can be beneficial for growth and meaning. He outlined seven guiding principles. Principles that incorporated eudaemonic, hedonic happiness, but also added the element of chaironic happiness. The latter encompassing a spiritual element, an existential wisdom (Wong, 2022) I. By activating positive potential for self-transcendence, this theory aligns with the previous three. The principles included self-transcendent emotions like gratitude and compassion (Wong, 2022) and purpose (which aligns with Maslow's B-values and Frankl's; finding meaning). A by-product of implementing these types of moral virtues, results in cultivating prosocial outcomes (Wong, 2022).
Dr Paul Wong acknowledged the reality of suffering like Frankl, and agreed it can be beneficial for growth and meaning. He outlined seven guiding principles. Principles that incorporated eudaemonic, hedonic happiness, but also added the element of chaironic happiness. The latter encompassing a spiritual element, an existential wisdom (Wong, 2022). By activating positive potential for self-transcendence, this theory aligns with the previous three. The principles included self-transcendent emotions like gratitude and compassion (Wong, 2022) and purpose (which aligns with Maslow's B-values and Frankl's; finding meaning). A by-product of implementing these types of moral virtues, results in cultivating prosocial outcomes (Wong, 2022).
Macro theory of positive function
The macro theory of positive function integrates self-determination theory (SDT) with the broaden-and-build theory, offering a unified perspective on how positive affect drives psychological growth (Stanley & Schutte, 2023). This framework emphasizes the role of intrinsic motivation in fostering resilience, creativity, and well-being. Positive emotions broaden cognitive and behavioural repertoires, enabling individuals to explore, learn, and build enduring personal resources. By expanding the self through outward exploration and engagement, individuals develop their potential and strengthen adaptive capacities (Rahrig et al., 2022).
The quiet ego
Recent scientific research from Rogawski et al. (2025) studied the conceptual framework surrounding the quiet ego. The research confirmed the positive correlation to pro-social outcomes when self-lessness increased. The framework identifies the quiet ego with healthier life experiences and positive psychological approaches (Rlogawski et al., 2025). Balance and growth are at the core, effectively weighing different perspectives and acting upon core value sets that benefit the wider natural system along with the self (Rogawski et al., 2025). However, the researchers also, noted that collective societies may naturally exhibit higher levels of these characteristics. Over societies prone to higher levels of individualism. The reason being their environments are naturally geared to foster social cohesion (Rogawski et al., 2025). Together, these theories provide a rich framework for understanding how self-transcendent emotions emerge. What they might signify, and how they contribute to human flourishing.
|
Small recap
|
Psychophysiological
Science demonstrates the profound interconnectedness of organisms, from micro-cellular processes to complex organic systems (Cloninger & Cloninger, 2021). Evidence suggests that symbiotic harmony fosters optimal well-being and survival, and working in alignment with the body’s natural systems can similarly facilitate the cultivation of self-transcendent emotions, promoting psychological balance (Cloninger & Cloninger, 2021).
Contextual factors, such as cultural norms, beliefs, and physical or mental conditions, shape emotional experiences (Weijers & Cox, 2025). Understanding the physiological attributes associated with these emotions can enhance outcomes. For example, gratitude strengthens prosocial bonds, while compassion serves as a functional conduit for helping others (Kitson et al., 2020; Tee & Shah, 2022). Individuals reporting high self-transcendence often exhibit lower depression scores, better self-control, and greater confidence (Christov-Moore et al., 2024).
Biological measures reveal changes in the parasympathetic vagal system during self-transcendent states (Tee & Shah, 2022). However, due to the complexity of these emotions, identifying direct neural and autonomic links has been challenging (Behnke et al., 2022). Researchers employ instruments such as gooseCam (goosebumps), pneumograph (breathing rate), photoplethysmography (PPG) (blood volume changes), and electrocardiograph (ECG/EKG) to measure physiological responses (Rahrig et al., 2022) (see Figure 3).

Positive emotions are associated with pleasurable valence within the brain’s reward system, though autonomic responses vary (Behnke et al., 2022). Heart rate patterns correlate with cognitive processing: faster rates and lower variability typically indicate stress or reduced cognitive efficiency, whereas slower rates and higher variability are linked to higher-order cognitive states (Clayton et al., 2021). Confounding factors such as elevated heart rate variability, due to fear within awe, can complicate interpretation.
Awe, one of the oldest and most universal self-transcendent emotions, activates the autonomic nervous system to facilitate rapid information processing and combines with cognitive mechanisms to respond to novel situations (Heylighen, 2025; Gao et al., 2024). Phenomenologically, awe is accompanied by physical tension, goosebumps, raised eyebrows, and audible sighs (Magon & Cupchik, 2023; Heylighen, 2025). It reflects a cognitive struggle to integrate vastness, temporarily suspending conceptual frameworks and prompting inward-to-outward shifts in focus (Li et al., 2024; Wong et al., 2021). This adaptive process diminishes ego, expands perspective, and enhances well-being. Aligning with theories of transcendence.
|
Topic Review: Quiz Time!
|
Neurobiological correlates
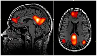
Due to these individual physiological differences and confounding factors related to baseline measures, accurately determining direct positive or negative affect has proven challenging (Kitson et al., 2020). Measuring self-transcendent emotions at the neurological level has also proven challenging. Multiple brain regions operate in a highly interconnected and synergistic manner, making it difficult to isolate specific areas responsible for complex emotional states (Kitson et al., 2020).

In a study conducted by Garland (2021), researchers investigated neural mechanisms associated with positive reward processing. They found that self-transcendent positive affect could be enhanced by extending hedonic pleasure through visual stimuli, which activated interoceptive valence and helped reduce unwanted negative emotions (Garland., 2021). The default mode network (DMN) (see Figure 4), a brain system responsible for automatic, self-referential processing such as daydreaming and introspection, plays a central role in this dynamic. Often associated with the ego and self-focus, the DMN can be dialled down to increase present-moment awareness and eudaimonic pleasure. Garland’s findings suggest that cognitive reappraisal can alter cortico-striatal circuitry, particularly involving the ventral striatum and medial prefrontal cortex (mPFC), in conjunction with the DMN. This synergistic mechanism appears to facilitate a loosening of self-constraints, allowing for a heightened sense of meaning and connectedness (Rahrig et al., 2022). Hallmarks of self-transcendent emotional states (Rahrig et al., 2022). These neurobiological changes align with the theoretical frameworks of Maslow, Frankl, Wong, discussed earlier. Particularly those emphasising ego reduction and meaning-making as pathways to transcendence (Llanos & Verduzco, 2022). Table 1 outlines a brief breakdown of some self-transcendent emotions studied in the literature. Table 1.
Self-transcendent emotions; their antecedents, core responses, and functional purposes
| Emotion | Antecedent | Core response | Functional purpose |
|---|---|---|---|
| Awe | Vastness; need for accommodation | Loss of self-awareness and time perception | Promotes cognitive reframing and fosters acceptance |
| Gratitude | Beneficial actions from others | Sense of thankfulness | Strengthens social bonds |
| Compassion | Observing suffering | Motivation to alleviate suffering and extend kindness | Enhances altruistic behaviour |
| Elevation | Moral beauty | Uplifting feeling; admiration | Encourages moral striving |
| Flow | engagement in challenging activities | Deep focus. Loss of self awareness and time perception | Supports eudemonic motivation for learning and personal growth |
| Note. Adapted from Christov-Moore et al. (2024), Kitson et al. (2020), Tee and Shah (2022), and Haryanto and Muslih (2025). | |||
Cultivating self-transcendent emotions
There are various activities, psychological attitudes and practices, that have been studied to foster self-transcendence. However, it remains a difficult concept to generalise across populations (Christov-Moore et al., 2024). Meditation has consistently shown to foster self-transcendent emotions (Christov-Moore et al., 2024). Psychedelics, moral elevation, religious spirituality and peak experiences, have also been shown to elicit self-transcendent emotions (Christov-Moore et al., 2024). Kitson et al. (2020) confirmed meditation that enhances the dissolution of the self, was strongly correlated with transcendence. Daily practices that foster being completely present can provide emotional balance and happiness while increasing self-transcendent emotions (Haryanto & Muslih, 2025). Holotropic breath work has been used to access, enhance and resolve intense emotional experiences (Haryanto & Muslih, 2025). It may also assist those needing to work through emotional barriers while elevating emotional openness (Haryanto & Muslih, 2025).
In a study intervention conducted by Perdomo-Guevara and Dibben (2024), participants were able to reduce performance anxiety through cognitive reframing and appraisal-focused strategies. By identifying the benefits to the audience, enhancing the perceived value of the music, and recognising the honour of performing. Participants accessed a deeper sense of meaning and experienced an elevated emotional state.
Raw transcendence may serve as an alternative to moral elevation, offering a distinct route to cultivating self-transcendent emotions. This approach involves expanding the mind through challenging, outward-focused scientific or intellectual endeavours (Heylighen, 2025). It aligns with the expansion elements of Maslow’s B-values, Frankl’s principle of “doing the work,” and the broaden-and-build theory, which emphasizes growth through exploration and engagement (Rahrig et al., 2022). While moral elevation; elicited by witnessing acts of moral beauty, has been shown to activate transcendent emotions (Heylighen, 2025). The researchers note that raw transcendence provides alternative avenues for individuals who may resist traditional frameworks, or perceive religious or institutional approaches as restrictive or manipulative (Heylighen, 2025).
Cultivating traits such as empathy and patience can increase prosocial exchange, provide protection against depression, and enhance the likelihood of long-term positive well-being (Chow et al., 2022). Values and affect are intrinsically interlinked; while mindfulness can influence an individual’s immediate affective state, fostering self-transcendent values such as benevolence and universalism can similarly shape emotional experience (Chow et al., 2022). Individuals can explore various activities that leverage these principles. For example, Nathaniel could join a local conservation group and volunteer his time to evoke change within his community.
The mechanisms discussed earlier align with deeper motivational theories emphasizing meaning, purpose, reduced self-focus, and an outward orientation toward others. Life stages may also influence the pathways individuals take to cultivate these complex emotions. For example, pursuing self-actualization earlier in life may enhance access to self-transcendence later on (Huang & Yang, 2022).
However, not all methods to cultivate these complex emotions are practical or acceptable around the world. For example, the use of psychedelics can have adverse effects and is prohibited in some countries (Christov-Moore et al., 2024). Kałużna et al. (2022) found that the positive effects of ego-dissolution induced by psychedelics were limited to the duration of the experience. In contrast, cultivating self-transcendence through practices that foster connectedness has been shown to produce more enduring benefits (Kałużna et al., 2022). They can be accessed through a combination of awe, gratitude, compassion, elevation and flow (Tee & Shah, 2022). Researchers Li et al. (2024) also documented different age groups experienced awe inconsistently in terms of pro-social behaviour, further research is needed. However, growing evidence suggests that cultivating self-transcendent emotions may represent a powerful pathway to life satisfaction and happiness (Huang & Yang, 2022).
|
|
Conclusion
.jpg)
Self-transcendent emotions are complex, heightened states that diminish ego-focus and self-absorption, fostering a sense of community and harmony with others and the environment (see Figure 5). They promote a “we,” rather than “me,” mentality and can even alter time perception, blurring distinctions between past, present, and future. These emotions can be cultivated through meaningful virtues, reflective attitudes, and deep contemplation. By embracing curiosity, expanding one’s frame of reference, and seeking existential meaning. Coming to terms with suffering and engaging in altruistic service further strengthens this process. Self-transcendent emotions serve as a powerful gateway to deeper happiness and well-being, creating profound interpersonal and environmental connectedness. Research shows they can be cultivated through such experiences of awe, gratitude, compassion, elevation, and flow.
See also
- Self-transcendence (Wikipedia)
- Peak experiences (Wikipedia)
- Positive psychology (Wikipedia)
- Ego death (Book chapter, 2024)
- Transpersonal psychology (Book chapter, 2020)
- Meditating
References
Castelo, N., White, K., & Goode, M. R. (2021). Nature promotes self-transcendence and prosocial behavior. Journal of Environmental Psychology, 76, Article 101639. https://doi.org/10.1016/j.jenvp.2021.101639
Chow, P. I., Berenbaum, H., Boden, M. T., & Flores, L. E. (2023). All for one or one for all? Examining a parsing of emotion that is informed by lay people’s values. Motivation and Emotion, 47(3), 333–346. https://doi.org/10.1007/s11031-022-10002-1
Clayton, R. B., Raney, A. A., Oliver, M. B., Neumann, D., Janicke-Bowles, S. H., & Dale, K. R. (2021). Feeling transcendent? Measuring psychophysiological responses to self-transcendent media content. Media Psychology, 24(3), 359–384. https://doi.org/10.1080/15213269.2019.1700135
Christov-Moore, L., Schoeller, F., Lynch, C., Sacchet, M., & Reggente, N. (2024). Self-transcendence accompanies aesthetic chills. PLOS Mental Health, 1(5), e0000125. https://doi.org/10.1371/journal.pmen.0000125
Dhillon, S. K. (2020). Empirical Support of Wong's Self-Transcendence Spiral: Meaning in Life, Virtues and Happiness. Wesleyan Journal of Research, 13(56), 17-28.
Gao, M., Qiu, X., & Zhu, H. (2024). The Relationship between awe and Prosocial Behavior: A Three-Level Meta-Analysis. Basic and Applied Social Psychology, 1–15. https://doi.org/10.1080/01973533.2024.2433721
Garland, E. L. (2021). Mindful positive emotion regulation as a treatment for addiction: from hedonic pleasure to self-transcendent meaning. Current Opinion in Behavioral Sciences, 39, 168–177. https://doi.org/10.1016/j.cobeha.2021.03.019
Frankl, V. E. (1985). Man’s search for meaning. Washington Square Press. (Original work published 1946)
Freimann, A., Mayseless, O., Hart, T., & Johnson, A. (2025). Living Transcendence: A Phenomenological Study of Spiritual Exemplars. The Humanistic Psychologist, 53(2), 266–288. https://doi.org/10.1037/hum0000359
Haryanto, S., & Muslih, M. (2025). The Contribution of Transpersonal Psychology to The Emotional, Mental, and Spiritual Well-Being of Individuals. Islamic Guidance and Counseling Journal (Online), 8(1). https://doi.org/10.25217/0020258549000
Heylighen, F. (2025). Curiosity, Awe and Wonder: The Emotions that Open Our Mind. Foundations of Science. https://doi.org/10.1007/s10699-025-09972-5
Huang, M., & Yang, F. (2023). Self-Transcendence or Self-Enhancement: People’s Perceptions of Meaning and Happiness in Relation to the Self. Journal of Experimental Psychology. General, 152(2), 590–610. https://doi.org/10.1037/xge0001297
Indius, S. (2024). Meditation and Self-transcendence: A Human Need? Integrative Physiological and Behavioral Science, 58(3), 878–883. https://doi.org/10.1007/s12124-024-09848-6
Ji, Q., & Raney, A. A. (2020). Developing and validating the self-transcendent emotion dictionary for text analysis. PloS One, 15(9), e0239050. https://doi.org/10.1371/journal.pone.0239050
Kałużna, A., Schlosser, M., Gulliksen Craste, E., Stroud, J., & Cooke, J. (2022). Being no one, being One: The role of ego-dissolution and connectedness in the therapeutic effects of psychedelic experience. Journal of Psychedelic Studies, 6(2), 111–136. https://doi.org/10.1556/2054.2022.00199
Kitson, A., Chirico, A., Gaggioli, A., & Riecke, B. E. (2020). A Review on Research and Evaluation Methods for Investigating Self-Transcendence. Frontiers in Psychology, 11, Article 547687. https://doi.org/10.3389/fpsyg.2020.547687
Li, R., Hou, Z., Zhang, C., Xu, Q., & Nie, A. (2024). A meta-analysis examining the relationship between awe and prosocial behavior. Current Psychology, 43(29), 24702–24711. https://doi.org/10.1007/s12144-024-06039-9
Llanos, L. F., & Martínez Verduzco, L. (2022). From Self-Transcendence to Collective Transcendence: In Search of the Order of Hierarchies in Maslow’s Transcendence. Frontiers in Psychology, 13, 787591. https://doi.org/10.3389/fpsyg.2022.787591
Magon, R., & Cupchik, G. (2023). Examining the Role of Aesthetic Experiences in Self-Realization and Self-Transcendence: A Thematic Analysis. Creativity : Theories - Research - Applications, 10(1), 68–94. https://doi.org/10.2478/ctra-2023-0006
Perdomo-Guevara, E., & Dibben, N. (2025). Cultivating meaning and self-transcendence to increase positive emotions and decrease anxiety in music performance. Psychology of Music, 53(3), 337–354. https://doi.org/10.1177/03057356241246052
Peteet, J. R., Cloninger, C. R., & Cloninger, K. M. (2021). Self-Transcendence. In The Virtues in Psychiatric Practice. Oxford University Press. https://doi.org/10.1093/med/9780197524480.003.0011
Rahrig, H., Vago, D. R., Passarelli, M. A., Auten, A., Lynn, N. A., & Brown, K. W. (2022). Meta-analytic evidence that mindfulness training alters resting state default mode network connectivity. Scientific Reports, 12(1), Article 12260. https://doi.org/10.1038/s41598-022-15195-6
Reischer, H. N., Cowan, H. R., Johnson, K. M., & Mittal, V. A. (2025). Self‐Transcendence as a Risk and Resilience Factor in Individuals at Clinical High Risk for Psychosis. Early Intervention in Psychiatry, 19(1), e13638-n/a. https://doi.org/10.1111/eip.13638
Rogawski, M., Simonsmeier, B. A., & Buecker, S. (2025). The Quiet Ego: A Meta-Analytical Review. Journal of Happiness Studies, 26(7), Article 112. https://doi.org/10.1007/s10902-025-00923-2
Stanley, P. J., & Schutte, N. S. (2023). Merging the Self-Determination Theory and the Broaden and Build Theory through the nexus of positive affect: A macro theory of positive functioning. New Ideas in Psychology, 68 , Article 100979. https://doi.org/10.1016/j.newideapsych.2022.100979
Tee, E. Y. J., & binti Raja Reza Shah, R. I. A. (2023). Self‐transcendent emotions and their influence on organizational effectiveness: A literature review and synthesis. Asian Journal of Social Psychology, 26(1), 146–163. https://doi.org/10.1111/ajsp.12550
Weijers, K. A. M., & Cox, E. R. J. (2025). Valuing peak experience in everyday lives : insights from positive and transpersonal psychology. Routledge.
Wong, P. T. (2022). The best possible life in a troubled world: The seven principles of self-transcendence. Positive Psychology in Counseling and Education, 1, 1-24.
Wong, P. T. P., Arslan, G., Bowers, V. L., Peacock, E. J., Kjell, O. N. E., Ivtzan, I., & Lomas, T. (2021). Self-Transcendence as a Buffer Against COVID-19 Suffering: The Development and Validation of the Self-Transcendence Measure-B. Frontiers in Psychology, 12, 648549. https://doi.org/10.3389/fpsyg.2021.648549
Worth, P., & Smith, M. D. (2021). Clearing the Pathways to Self-Transcendence. Frontiers in Psychology, 12, 648381. https://doi.org/10.3389/fpsyg.2021.648381
Zhao, D., & Raney, A. A. (2024). Mood Enhancement, Self-Transcendence, and Prosociality: Selective Exposure to Self-Transcendent Media Entertainment and Prosocial Behavior. Journal of Media Psychology. https://doi.org/10.1027/1864-1105/a000447
External links
- I went to space an discovered an enormous lie (Big think)
- Ancient wisdom + modern science (Fitmind.org)
- Self-transcendent theory (Self-transcendence.org)
- What is self-transcendence? Definition and 6 examples (Positivepschology.com)
- Breath work
- Flow states


